Spiders, snakes? Brain-damaged woman knows no fear
Source: apa.org
Meet SM, a 44-year-old woman who literally knows no fear.She’s not afraid to handle snakes. She’s not afraid of the "The Blair Witch Project," "The Shining," or "Arachnophobia." When she visited a haunted house, it was a monster who was afraid of her.
SM isn’t some cold-blooded psychopath or a hero with a tight rein on her emotions. She’s an ordinary mother of three with a specific psychological impairment, the result of a very rare genetic disease that damaged a brain structure called the amygdala (uh-MIG’-duh-luh).
Her case shows that the amygdala plays a key role in making people feel afraid in threatening situations, researchers say.
Her life history also shows that living without fear can be dangerous, they said.
A study of her fearlessness was published online Thursday in the journal Current Biology by University of Iowa researcher Justin Feinstein and colleagues. As is typical, the paper identifies her only as "SM." Feinstein declined to make SM available for an interview with The Associated Press, citing laboratory policy about confidentiality.

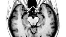
An undated image of a brain scan provided by the University of Iowa Department of Neurology, shows an MRI scan of patient SM’s brain. The arrows point to the amygdala, the region of the brain which SM is missing, as shown by the vacant black holes underneath the arrows. (AP Photo/University of Iowa Department of Neurology)
An expert unconnected with the study cautioned against drawing conclusions about the amygdala, noting that her own work with a similarly brain-damaged woman found no such impairment. But another expert said the new finding made sense.
SM has been studied for more than 20 years, and many papers have been published about her fear-related abnormalities. She has trouble recognizing fear in facial expressions, for example.
In another experiment, published in 1995, she was blasted with a loud horn every time she saw a blue-colored square appear on a screen. Despite the repeated blasting horn, she never developed the fear an ordinary person would feel when seeing the blue square.
Other research shows SM scores normally on tests of intelligence, memory and language, and she experiences emotions other than fear. She lives independently.
SM recalls being afraid as a child, like the time she was cornered by a snarling Doberman pinscher. But maybe that was before her disease wiped out the amygdala in both the left and right sides of her brain, the researchers say.
She apparently hasn’t felt fear as an adult, not even 15 years ago in an incident described by the researchers. A man jumped up from a park bench, pressed a knife to her throat and hissed, "I’m going to cut you."
SM, who heard a church choir practicing in the distance, looked coolly at him and replied, "If you’re going to kill me, you’re going to have to go through my God’s angels first."
The man suddenly let her go. She didn’t run home. She walked.
"Her lack of fear may have freaked the guy out," Feinstein said.
But it also got her into that situation in the first place, he noted. SM had willingly approached the man when he asked her to, even though it was late at night and she was alone, and even though she thought he looked "drugged out."
SM has also walked into other dangerous situations because of her lack of fear, and all in all, it’s remarkable she’s still alive, Feinstein said.
For their report in the journal, researchers exposed her to scary situations - snakes, scenes from horror movies and the haunted house. They observed her behavior and asked her to rate her fear levels.
Although she had said she hated snakes and spiders and tries to avoid them, that’s not what happened at a pet store. She eagerly held a snake for more than three minutes, rubbing its scales and touching its flicking tongue. And she wanted to touch some of the store’s more dangerous and bigger snakes, even after an employee warned her about the danger. She had to be stopped from touching a tarantula.
"This is so cool!" she exclaimed about the snake experience. When asked to rate her fear from zero to 10 during the pet shop visit, she never went higher than a minimal 2.
Researchers also took her to a haunted house. She and the research team walked through with five women, all strangers, who regularly responded with "loud screams of fright," the paper reports.
From the outset, SM led the way, often calling, "This way, guys, follow me!" Not only did the "monsters" fail in their attempts to scare her, but she eagerly approached them. She startled one of the masked performers with a poke to the head because she was "curious" what it would feel like.
She considered the haunted house to be "highly exciting and entertaining," like the rush she gets from a roller coaster, Feinstein said. But her fear ratings? Zero.
Liz Phelps of New York University, who studies the brain and emotion, said she found no sign of such fearlessness in a woman with the same kind of brain damage in a study several years ago. That woman reported feeling fear in her daily life just as much as healthy people did, Phelps said.
Perhaps the explanation is differences in the level of brain development when the amygdala damage occurred, she suggested.
David Amaral, a University of California, Davis, psychiatry professor who has studied how this type of brain damage affects fear in monkeys, said the new study "confirms something we’ve pretty much known for a long time ... The amygdala is a danger detector."

Article from: apa.org






















